Dental Veneers
Transform Your Smile with Dental Veneers: Everything You Need to Know
Your smile is one of the first things people notice about you. It conveys warmth, confidence, and joy. But what if you feel hesitant to smile because of chipped, stained, or misaligned teeth? Enter dental veneers—a revolutionary solution to help you achieve a flawless smile.
At A-SQUARE DENTAL STUDIO, we believe in blending technology with artistry to provide exceptional dental care. In this blog, we’ll walk you through everything you need to know about dental veneers, so you can decide if they’re the right choice for you.
What Are Dental Veneers?
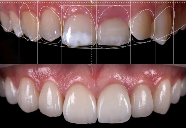
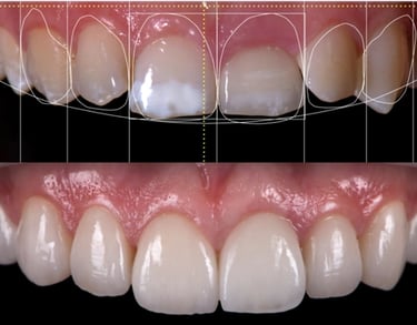
Dental veneers are thin, custom-made shells designed to cover the front surface of your teeth. They’re crafted from high-quality materials like porcelain or composite resin to mimic the natural appearance of enamel. Veneers are bonded to your teeth to improve their color, shape, size, or alignment.
Benefits of Dental Veneers
Aesthetic Perfection
Veneers are designed to look and feel like natural teeth, ensuring a radiant smile.Stain Resistance
Porcelain veneers resist stains from coffee, tea, and smoking better than natural enamel.Durability
With proper care, veneers can last 10–15 years or more.Minimally Invasive
The procedure requires minimal enamel removal, preserving the natural tooth structure.Customizable
Veneers are tailored to suit your unique facial features and aesthetic goals.
Who Can Benefit from Veneers?
Dental veneers can address a variety of cosmetic issues, such as:
Discolored teeth that don’t respond to whitening treatments.
Chipped or cracked teeth.
Gaps between teeth.
Misaligned or uneven teeth.
Worn-down teeth due to grinding.
The Veneer Process
Consultation
During your first visit, our expert dentists will assess your oral health and discuss your goals.Tooth Preparation
A small amount of enamel is removed to ensure the veneers fit seamlessly.Impressions
We take detailed impressions of your teeth to create custom veneers.Temporary Veneers
While your permanent veneers are being crafted, temporary ones protect your prepared teeth.Final Bonding
Once the veneers are ready, they are carefully bonded to your teeth using a special adhesive.
Caring for Your Veneers
Practice good oral hygiene by brushing twice a day and flossing daily.
Avoid biting into hard objects like ice or pens.
Wear a mouthguard if you grind your teeth.
Visit your dentist regularly for check-ups and cleanings.
Why Choose A-SQUARE DENTAL STUDIO for Your Veneers?
At A-SQUARE DENTAL STUDIO, we pride ourselves on delivering cutting-edge dental solutions tailored to your needs. Our state-of-the-art technology combined with artistic expertise ensures you leave our clinic with a smile you love.
Take the First Step Toward Your Dream Smile
If you’ve been dreaming of a picture-perfect smile, dental veneers might be the solution you’ve been looking for. Contact us today at +918847520430 to schedule a consultation and discover how we can transform your smile!
A-SQUARE DENTAL STUDIO – Where Tech Meets the Art of Dentistry.


